
【助産師監修】妊娠5週目(妊娠2ヶ月)に出る症状は?胎嚢、心拍は確認できる?出血は流産?
2018.09.27
AMOMA編集部
妊活中~産後の育児期は、かけがえのない喜ばしい時間であるとともに、時には不安や心配の方が多くなることもあります。“AMOMAよみもの”を通して少しでもその不安を解決し、笑顔で過ごすお手伝いができればと願っています。
浅井貴子
助産師
新生児訪問指導歴約20年以上キャリアを持つ助産師。毎月30件、年間400件近い新生児訪問を行い、出産直後から3歳児の育児アドバイスや母乳育児指導を実施。
タグをみる
妊娠5週目は、生理周期が正確な方は妊娠に気づく頃ですね。妊娠5週目には、どんな症状が見られるのでしょうか。
気になる胎嚢(たいのう)の大きさや、心拍の確認ができるか、出血時に流産の可能性があるかどうかについてお伝えします。
妊娠5週目に出る症状

妊娠5週目とは、生理予定日の翌週のことです。一般的な妊娠検査薬は、この頃から使えるようになります。また、つわりなどの妊娠初期症状で妊娠に気づく方もいます。
<代表的な妊娠初期症状>
・体温が上がる
・だるくなり、眠たくなる
・胸が張って乳頭が痛くなる
・嗜好の変化やつわりの症状
・便秘になる
・皮膚トラブル
・下腹部のひきつれ
関連する記事
「助産師が教える!妊娠初期症状とは?」
「助産師が教える!つわりを軽減する方法」
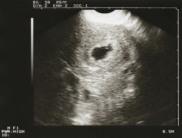
妊娠5週目は胎嚢・心拍が確認できる時期?

妊娠検査薬で陽性が出ても、まだ確実に妊娠したとは言えません。異常妊娠の可能性もあります。妊娠と確定するには、病院の超音波検査で「胎嚢」「胎芽」「心拍」を確認する必要があります。
胎嚢とは?確認時期は?
胎嚢とは赤ちゃんを包む袋のようなもので、だいたい妊娠4週から5週目にかけて、確認できることが多いです。
胎嚢が確認できると、まず子宮外妊娠でないことがわかります。この頃の胎嚢の大きさは、10mm前後。病院では胎嚢の大きさをGSということもあります。
胎芽とは?確認時期は?
胎芽とは赤ちゃんが胎児になる前の段階の呼び名です。受精卵が着床してから、妊娠10週未満の赤ちゃんを胎芽といい、10週を過ぎると胎児と呼ばれます。
胎芽は妊娠5~6週頃に確認できる方もいますが、妊娠7週以降に確認したという方もおり、かなり個人差があります。妊娠8週頃までには多くの方が確認できるようです。
心拍とは?確認時期は?
心拍(胎芽の心臓の動き)が確認でき妊娠10週を過ぎれば、流産の可能性はぐっと低くなります。心拍の確認も妊娠6週目頃からで、8週目頃までには多くの方が確認できるようです。
これらの3つが確認できて、妊娠が成立したと言えるのですね。
妊娠5週目の胎芽の様子

さまざまな器官や組織が形成
妊娠4~16週は、大切な器官や組織がハイペースで形成されるため、「器官形成期」とも呼ばれます。
妊娠5週目から9週にかけて、顔のパーツが形成され始めます。頭の部分には、耳ができる場所にくぼみが現れ、目となる組織ができます。胃や腸、膵臓、肺の形成もスタートします。
また、心臓につながる大動脈の形成が始まり、すべての器官に心臓から血液を運べるようになります。
胎芽の大きさと形
胎芽の頭骨の頂点からお尻までの長さを「頭臀長(とうでんちょう)」と言いますが、この頃の頭臀長はわずか3~5mm程度です。
5週目の終わり頃には、赤ちゃんは「く」の字のような体勢で、腕となる部分が盛り上がってきます。また体の成長が脊髄の成長に追いつくに従い、お尻のしっぽのような部分が目立たなくなってきます。
妊娠5週目に出血がある?流産の可能性は?

生理予定日の前後に少量の出血が1、2日続くことがあります。これは受精卵が子宮に着床するときに見られる出血で着床出血といい、心配ありません。
ただ、出血が鮮血である場合や、出血が続く・出血の量が多い場合などは、切迫流産や異常妊娠の兆候の場合もありますので、早めに病院を受診しましょう。
妊婦さんが気をつけること

重い物や冷えに気をつける
妊娠初期の流産は、染色体異常など、多くは胎児側に原因があり、ママ側では防ぎようがありません。
しかし、できるだけ重い物を避けたり、体を冷やさないよう気をつけることは、妊娠初期のトラブルの予防に役立ちます。
情緒不安定になることも
この時期は妊娠の喜びと同時に、つわりなど体やホルモンバランスの大きな変化に不安やストレスを感じ、情緒不安定になることもあります。
ムカムカしたり気分が不快な時には、妊娠初期から使えるレモンやグループフルーツなどのアロマオイルを嗅いで気持ちを落ち着けましょう。
バランスの良い食事を
妊娠初期に必要な主な栄養素はたんぱく質、脂質に加え、葉酸、ビタミン、ミネラル、カルシウム、鉄分などです。
つわりで食べられない場合は無理をせず、食べられるものを、回数を分けて食べられる量だけ食べるようにしましょう。
タバコやアルコールは控えて
赤ちゃんの脳と脊髄が急速に発達する妊娠初期は、とても重要な時期です。過度なストレス、暴飲暴食、タバコやアルコール、コーヒーや緑茶、常用している薬や放射線などには気をつけましょう。
妊娠初期は戸惑うことや不安なことも多いと思います。周囲にサポートをしてもらいながら、無理せず、自分のペースで妊娠生活を送っていけるといいですね。
関連記事:
「妊娠初期におすすめの4つの食べ物」
INSTAGRAM
授乳や子育てに関する情報満載!
amoma_naturalcare
フォローする
関連記事
■体の悩み
-
【助産師監修】乳頭に白斑!授乳して大丈夫?取り方や原因も解説2024.03.22 -
【助産師監修】生後1・2・3ヶ月の赤ちゃんの授乳間隔・授乳回数の目安は?2024.03.22 -
【医師監修】乳腺炎で発熱!病院に行くべき?症状・原因・対処法も詳しく解説2024.03.19
カテゴリーランキング
AMOMAコラムについて
妊娠、出産前後はママにとっては初めてのことばかり。「これってあってるのかな?」 「大丈夫かな?」と不安や疑問に思った時につい手に取りたくなるような情報をお届けしたいと考えています。そのため多くの情報は助産師をはじめ専門家の方々に監修。テーマから読めるようになっていますので、ぜひ気になるものから読んでみてください。あなたの不安や疑問が解決できるお手伝いになれば嬉しいです。
AMOMAのパートナー

看護師、助産師、IFAアロマセラピスト、JMHAメディカルハーバリスト、NCA日本コンディショニング協会認定トレーナー
母乳育児、新生児~幼児にかけての育児相談全般、アロマやハーブを使用した産前、産後ケア 代替療法全般

管理栄養士・幼児食アドバイザー
メンタルヘルス食カウンセリング、子供の心を育てる食育講座、企業向け健康経営セミナーなど

日本神経言語心理家族療法協会公認家族心理カウンセラー、NLPファミリーセラピー・マスタープラクティショナー、子どものこころのコーチング協会インストラクタ
心理カウンセラー

日本産婦人科学会会員その認定医、産婦人科専門医、日本ソフフロロジ学会会員、東京オペグループ会員、日本アロマテラピー学会会員
産婦人科医
その他のお問い合わせはこちらから
メールで問い合わせ







amoma_naturalcare









